어깨 골절 수술 후 물리치료 재활치료 도수치료 비용 실비보험 적용
어깨는 일상에서 가장 자주 사용되는 관절 중 하나입니다. 물건을 들고, 머리를 감고, 문을 여는 사소한 동작조차 어깨의 움직임 없이는 불가능합니다. 오늘은 어깨 골절 수술 후 물리치료 재활치료 도수치료 비용 실비보험 적용이 어떤 항목까지 보장이 가능한지에 대해 상세히 살펴보겠습니다.


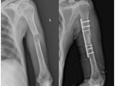
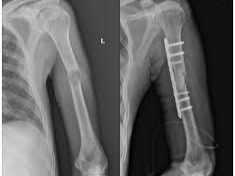
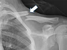
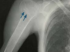
어깨에 골절이 발생하면 일상 전체가 마비되는 기분을 느끼는 것도 무리는 아닙니다. 특히 쇄골, 상완골 근위부, 견갑골 부위에 골절이 생기면 수술이 필요하며, 수술 이후의 재활과 물리치료는 단순히 통증을 없애는 것을 넘어, 관절 가동 범위의 회복과 장기적인 기능 정상화를 위한 핵심 단계입니다. 또한 어깨 골절 수술 이후 본격적으로 시작되는 재활 치료와 도수치료의 현실적인 문제는 ‘비용’과 ‘보험 적용 여부’입니다.



수술 후 회복 단계별 치료 방식 정리
1단계: 급성기 (수술 직후~2주)
이 시기에는 통증이 매우 심하며, 어깨는 고정되어 있는 상태입니다. 대부분의 경우, 삼각건(어깨 보호대)으로 고정된 상태에서 움직이지 않고 안정을 취합니다. 염증을 가라앉히는 것이 우선이며, 주기적인 냉찜질, 약물 복용, 제한적인 수동운동이 병행됩니다.
비용: 입원 중 간단한 물리치료는 기본 입원비에 포함되며, 따로 부담되는 비용은 많지 않습니다.
2단계: 아급성기 (2주~6주)
어깨를 조금씩 움직일 수 있는 단계로 넘어가며 본격적인 재활이 시작됩니다. 운동 범위를 서서히 넓혀야 하며, 이 과정에서 **수동적 운동(passive exercise)**과 **능동보조 운동(assisted active movement)**이 이루어집니다. 이때부터는 물리치료와 도수치료의 필요성이 점점 커집니다.
물리치료: 저주파, 온열요법, 초음파 치료 등 장비를 활용한 방식
도수치료: 치료사가 손으로 직접 관절과 근육을 움직여 기능 회복을 돕는 수기치료
3단계: 만성기 (6주 이후~3개월 이상)
힘을 기르고, 정상적인 움직임을 회복하는 단계입니다. 이 시기에는 근력 강화 운동, 고정성 회복 운동, 자세 교정 운동이 포함되며, 도수치료의 비중이 커지고, 일부 환자는 **운동 치료(재활 트레이닝)**까지 병행하게 됩니다.
운동치료: 일반적으로 헬스 트레이너가 아닌 물리치료사가 직접 진행하며 재활 전문 센터에서 제공됩니다.






치료별 평균 비용 비교
| 치료 유형 | 평균 비용(1회 기준) | 특징 |
| 기본 물리치료 | 5,000원~15,000원 | 병원급 이상 의료기관에서 진행. 보험 적용 가능 |
| 도수치료 | 50,000원~150,000원 | 대부분 비급여. 병원마다 편차 큼 |
| 재활 운동치료 | 30,000원~100,000원 | 전신 자세 교정 포함 가능. 일부 병원은 급여 가능 |
| 외래 진료 및 처방약 | 3,000원~10,000원 | 실비보험 적용 가능 |
| 영상검사 (X-ray, MRI 등) | 10,000원~40만 원 | MRI는 실비에서 비율 보장됨 (급여 여부 따라 다름) |
※ 상기 비용은 지역 및 의료기관에 따라 다소 차이가 발생할 수 있습니다.
실비보험 적용 범위 정리
실손의료보험이 적용되는 항목
- 입원비: 병실료, 입원 기간 중 치료비 대부분
- 수술비: 어깨 골절 수술은 대부분 보장
- 처방약: 진통제, 소염제 등 외래 처방약
- 기본 물리치료: 온열, 초음파, 전기 자극 등
실손보험에서 제한 또는 제외되는 항목
- 도수치료: 대부분의 경우 비급여 항목으로 처리되며, 보험 적용은 되지 않음. 단, 일부 실손보험 특약 또는 구형 상품의 경우 보장되는 경우 있음
- 운동재활치료: 마찬가지로 비급여 항목이며, 실손보험 보장 제외 대상
- 한방치료: 일부 보험에서는 보장되지만, 도수치료와 동일하게 항목별로 제한이 있음
도수치료, 꼭 받아야 할까?
많은 분들이 도수치료의 높은 비용 때문에 망설입니다. 하지만 어깨 관절은 그 구조상 아주 정교하고, 근육과 인대가 복잡하게 얽혀 있어 수술 이후 뻣뻣함, 통증, 근력 저하가 오랫동안 지속되기 쉽습니다.
도수치료는 단순히 뻐근한 근육을 푸는 것이 아니라, 관절의 위치를 조정하고 비대칭된 자세를 교정하는 데 매우 효과적입니다. 단기적으로는 부담이 되더라도, 장기적으로는 재수술이나 만성통증으로 이어지는 상황을 예방할 수 있기 때문에 일정 횟수는 꼭 고려해보시는 것이 좋습니다.






도수치료 실비 적용받는 방법 있을까?
일반적인 실비보험에서는 도수치료에 대해 보장을 제공하지 않지만, 2020년 이전에 가입한 구형 실비보험이나, 특약으로 도수치료를 포함한 상품의 경우 일부 보장이 가능합니다.
또한 최근 일부 보험사는 ‘통원 치료 특약’에 도수치료 일정 횟수를 포함하는 상품을 선보이고 있어, 신규 가입 시에도 꼼꼼히 따져볼 필요가 있습니다. 실제 보장 가능 여부는 가입된 보험의 약관에 따라 다르기 때문에, 보험설계사 또는 고객센터를 통해 약관 상세 조회를 꼭 진행하셔야 합니다.
어깨 골절 이후 보험청구 실전 팁
- 병명은 반드시 '골절'로 표기: 단순 통증으로 기재되면 실비 적용이 제한될 수 있음
- 의사 소견서 확보: 물리치료 및 도수치료의 필요성을 명확히 기재해줄 것
- 영수증 분리 보관: 입원비, 도수치료비, 약값 등 항목별로 구분 보관해야 함
- 진단서 발급 시점 조절: 수술 후 3개월 이내에 청구하면 심사 속도가 빠름






어깨 골절에 관한 Q&A
Q. 어깨 골절 수술 후 병가 기간은 보통 얼마나 필요한가요?
A. 일반적으로 최소 4주에서 8주가 권장되며, 육체노동 직군일수록 회복 기간이 더 길어질 수 있습니다.
Q. 어깨 재활 중 헬스장 운동은 언제부터 가능한가요?
A. 주치의가 관절 가동 범위 회복을 확인한 후, 보통 수술 후 3개월부터 가벼운 웨이트 운동이 가능합니다.
Q. 수술 후 어깨가 자주 저리거나 시릴 때는 어떻게 해야 하나요?
A. 신경 손상 또는 혈류 장애 가능성이 있으므로, 즉시 정형외과 재진이 필요합니다.
Q. 통증이 없으면 물리치료나 도수치료는 생략해도 되나요?
A. 통증이 없어도 관절 강직이나 근력 저하가 남을 수 있으므로, 정기적인 평가를 통해 필요한 치료는 계속해야 합니다.
Q. 수술 부위에 금속이 고정된 경우 공항 검색대에서 걸리나요?
A. 대부분 티타늄 재질은 금속탐지기에 반응하지 않지만, 병원에서 발급받은 '금속삽입물 확인서'를 지참하는 것이 안전합니다.



결론: 실비 적용과 치료 전략은 함께 고민해야
어깨 골절은 단순히 뼈가 붙는다고 끝나는 문제가 아닙니다. 수술 후 제대로 된 재활 치료를 받지 않으면, 어깨 움직임에 제약이 남아 직장 복귀, 일상생활 모두 영향을 받을 수 있습니다. 비용이 부담될 수 있으나, 실비보험의 적용 항목을 정확히 파악하고, 병원 선택과 치료 계획을 체계적으로 세우는 것이 회복 속도를 결정짓습니다.
의료기관의 상담만 믿기보다는, 본인의 보험 약관과 치료 단계에 따라 합리적인 조합을 찾아나가는 노력이 필요합니다. 특히, 도수치료와 같은 고가 치료의 선택 여부는 단기 치료비용보다 장기 건강을 기준으로 판단하셔야 합니다.
'건강정보' 카테고리의 다른 글
| 고지혈증 약 복용시간 (0) | 2026.01.20 |
|---|---|
| 인삼다당체란, 효능, 가격 완전정리 (0) | 2025.12.04 |
| 발이 붓는 이유, 부종 해결방법 (0) | 2025.12.03 |
| 한쪽 다리가 붓는 이유 - 원인부터 진단, 대처까지 (0) | 2025.11.27 |
| 췌장 위치 그림 (0) | 2025.09.14 |