경동맥 초음파 검사로 알 수 있는 병, 비용
경동맥 초음파는 7MHz 이상의 선형 탐촉자를 사용해 경부 혈관의 내중막두께(IMT), 죽상경화반(플라크), 혈전, 박리, 협착 정도 등을 평가합니다.


벽 자체의 병리(염증·칼슘화·표면 불규칙)까지 파악할 수 있어, 내강만 보여주는 CT/MR 혈관조영과 상호 보완적입니다. 반복성이 높고 침습성이 없어 장기 추적에 적합합니다.
경동맥 초음파 검사로 알 수 있는 병과 병변
경동맥 초음파는 목의 큰 동맥(총경동맥·내경동맥·외경동맥) 벽과 혈류를 실시간으로 확인하는 비침습적 검사입니다. 경동맥 초음파 검사로 알 수 있는 병은 대체로 심뇌혈관질환 위험이 의심되거나, 일과성허혈발작(TIA)·편마비 등 신경학적 증상이 있을 때, 또는 수술·시술 전후 평가에 표준적으로 활용됩니다. B-모드(흑백) 영상으로 혈관벽 두께와 플라크를 보고, 도플러로 혈류 속도와 방향을 정량화해 협착 정도를 평가합니다. 방사선 노출이 없고 10-20분 내외로 끝나며 반복 추적에 유리합니다.

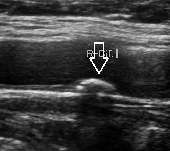
1) 죽상동맥경화증과 플라크
- 플라크 정의: 만하임 합의(Mannheim consensus)에 따르면, 플라크는 주변 IMT 대비 0.5mm 이상 혹은 50% 이상 돌출하거나, 절대 두께가 1.5mm 이상인 국소 비후를 말합니다. 이는 단순한 벽 비후(IMT 증가)와 구분되는 병적 병변입니다.
- 위험도 특성: 저에코·불균질·궤양성 플라크는 색전 유발 가능성이 높고, 향후 뇌졸중 위험 증가와 연관됩니다. 초음파로 플라크 표면과 에코 특성을 확인해 고위험 플라크를 선별할 수 있습니다.



2) 경동맥 협착증의 정량 평가
초음파 도플러로 최대수축기속도(PSV)와 분당 혈류를 측정해 협착을 등급화합니다. 전통적 SRU 기준에 따르면 ICA(내경동맥) PSV 125-230 cm/s는 50-69% 협착, 230 cm/s 이상이면 70% 이상 협착으로 판단합니다. 최근에는 50% 협착 문턱값을 PSV 180 cm/s로 높여 과대진단을 줄이려는 수정 기준도 확산되고 있습니다. 해석 시 플라크·내강 협소·ICA/CCA 비율 등을 종합합니다.


3) 경부 동맥박리·동맥류 등 구조적 이상
경부동맥박리는 청·장년 허혈성 뇌졸중의 중요한 원인입니다. 초음파는 벽내혈종에 의한 이중 내강, 동맥류성 확장, 박리막 움직임 등을 시사하는 소견을 제공하며, 필요 시 CTA/MRA와 병행 평가합니다.
4) 혈전·색전 위험 평가
플라크 표면 궤양, 저에코 성분, 섬유성 캡 파열 징후는 색전(artery-to-artery) 위험 신호입니다. 초음파는 이러한 고위험 특징을 비침습적으로 포착해 치료 전략(강도 높은 지질강하·항혈소판·재혈관화 고려)을 결정하는 데 도움을 줍니다.
5) 내중막두께(IMT)와 전신 위험도
IMT 증가는 연령·성별과 무관하게 향후 심근경색·뇌졸중·심혈관 사망과 독립적으로 연관됩니다. 임상에서는 IMT≥0.9mm를 ‘아증상 장기손상’으로 간주하는 지침이 널리 쓰이며, 1.5mm 이상이면 플라크로 분류합니다. 다만 IMT는 보조 지표로 활용하며 전체 위험요인과 함께 판단해야 합니다.
누가 경동맥 초음파를 받아야 할까






1) 증상이 있을 때 즉시
다음과 같은 신경학적 증상은 TIA·허혈성 뇌졸중의 전조일 수 있어 신속한 영상 평가가 필요합니다.
- 한쪽 팔다리 힘 빠짐·저림, 말이 어눌해짐·실어증
- 한쪽 시야 또는 한쪽 눈의 일시적 실명(amaurosis fugax)
- 갑작스런 어지럼·보행 실조 등
이 경우 경동맥 초음파는 병인 파악과 치료 방침 결정에 유용합니다.
2) 무증상 일반인 ‘전수 선별검사’는 권고되지 않음
미국 USPSTF는 무증상 성인에 대한 경동맥 협착증 선별검사(듀플렉스 초음파)를 ‘권고하지 않음(Grade D)’으로 최종 발표했습니다. 이유는 유병률이 낮고, 위양성으로 인한 불필요한 추가 검사·시술 위험이 크기 때문입니다. 국내에서도 국가검진 도입의 비용효과성 근거가 불충분하다는 평가가 있었습니다. 고위험자라도 선별검사 효용은 제한적이므로, 개인 위험과 증상을 바탕으로 의사와 상의해 결정하는 것이 합리적입니다.
3) 시술·수술 전후 추적
- 경동맥 스텐트(CAS) 후: 퇴원 전-3개월-6개월 간격으로 3회, 이후 1년마다 재평가 권장.
- 내막절제술(CEA) 후: 봉합 방식에 따라 1개월-6개월-이후 매년 등 추적 계획을 세웁니다.
- 확진 협착 보유자: 6-12개월 간격 추적이 일반적입니다.



검사 과정과 소요 시간, 준비사항
- 과정: 검사대에 누운 뒤 젤을 바르고 양측 경동맥을 위·아래로 따라가며 B-모드와 도플러를 시행합니다. 필요 시 척추동맥 혈류 방향도 확인합니다. 통증·방사선 노출·조영제 사용이 없습니다.
- 시간: 보통 10-20분. 결과 설명까지 포함해 약간 더 걸릴 수 있습니다.
- 준비: 금식은 일반적으로 필요 없으며, 검사 직전 카페인·흡연은 혈관 수축을 유발할 수 있어 피하는 것이 좋습니다.






결과 해석과 이후 관리
협착 정도별 관리 원칙(개요)
- 경증(<50%): 생활습관 개선, 지질강하 치료, 항혈소판제 등 내과적 치료 중심.
- 중등도(50-69%): 증상 유무·연령·동반질환을 고려해 내과치료 vs 재혈관화(CEA/CAS) 선택.
- 중증(≥70%): 증후성이면 조기 재혈관화가 권고되며, 무증상은 개별 위험-편익을 평가해 결정.
플라크 성상 기반 위험도 조정
저에코·궤양성·두꺼운 플라크는 색전 위험이 높아 강화된 약물치료와 더 촘촘한 추적이 필요합니다. 스타틴 치료는 플라크 용적 감소와 안정화에 기여할 수 있습니다.
주의: 위 기준은 ‘방향성’을 제시하는 임상 개요입니다. 실제 치료는 증상 발현 시기, 해부학, 수술·시술 위험도, 동반 심혈관질환 등을 종합한 전문의 판단으로 결정됩니다.






비용과 건강보험 - 현실적인 가이드
일반 인구를 대상으로 한 무증상 선별검사는 이득보다 위해가 커 권고되지 않습니다. 비용은 급여·비급여 여부와 의료기관 종별에 따라 다양하며, 비급여 관행 가격은 대략 9만-20만 원대가 흔합니다. 급여 시에는 요양기관 종별에 따라 30-60% 본인부담률이 적용됩니다.
1) 비급여일 때
다수 의료기관이 공개한 비급여 가격(행위코드 EB482 기준)은 대략 90,000원에서 200,000원대 사이에 형성되어 있습니다. 병원 규모와 장비, 판독·진료료 포함 여부 등에 따라 편차가 있습니다.
- 예) 90,000원(병원급) - 150,000원(여러 병원 공시) - 180,000~208,000원(일부 기관) 등 사례가 확인됩니다.
2) 급여(보험) 적용 원칙
보건복지부 자료에 따르면 경동맥 초음파는 급여 대상입니다. 다만 타 영상검사로 이미 협착이 진단돼 시술 계획만을 위한 반복 검사 등 일부 상황은 급여 제외가 될 수 있습니다. 급여 인정 범위는 임상 상황과 의학적 타당성에 좌우되므로, 접수 전 해당 병원의 급여 적용 여부를 꼭 확인하십시오.
3) 본인부담률과 대략 계산
외래 본인부담률은 요양기관 종별에 따라 30-60%가 차등 적용됩니다. 즉 같은 급여 행위라도 의원·병원·상급종합병원에서 본인부담액이 다릅니다.
- 예시 계산: 과거 보도에 언급된 ‘도플러 초음파 수가 62,840원’을 가정하면,
- 의원급(30%) 방문 시 본인부담 약 1만 8천원대,
- 종합병원(50%)이면 약 3만 1천원대,
- 상급종합병원(60%)이면 약 3만 7천원대가 됩니다. 실제 청구액은 진찰료·판독료·타 검사 동시 시행 여부에 따라 달라집니다.
4) 코드와 분류 참고
경동맥 도플러 초음파는 비급여 보고항목 상 ‘혈관-두개외 혈관 도플러 초음파-경동맥’(EB4820000)로 분류됩니다. 의료기관 공시에서 동일 코드명을 확인할 수 있습니다.



검사를 고려할 때 체크리스트
- 이런 증상이 있었다면 즉시 상의: 편측 약화, 언어장애, 한쪽 시야·시력 소실, 갑작스런 보행 이상 - TIA 가능성이 있어 신속한 영상 평가가 필요합니다.
- 무증상 고위험자라도 일괄 선별은 비권고: 흡연·고혈압·당뇨·고지혈증·심장질환이 있어도 무증상 선별검사 이득은 제한적입니다. 다만 의사가 병력·진찰에서 필요성을 인정하면 시행할 수 있습니다.
- 시술·수술 전후 계획: CAS/CEA 후 정해진 간격의 초음파 추적은 재협착 조기 발견에 유용합니다. 일정은 시술 유형·환자 위험도에 맞춰 조정합니다.
- 해석은 종합 판단: PSV 숫자만으로 단정하지 말고, 플라크 모양·ICA/CCA 속도비·내강 협소·환자 증상을 함께 봅니다. 최근 일부 실험실은 50% 협착에 PSV 180 cm/s 기준을 채택합니다.
- 생활습관과 약물치료의 힘: 금연, 혈압·혈당·LDL 관리, 스타틴 치료는 플라크 진행을 늦추고 안정화합니다. 초음파는 이 변화를 추적하는 도구입니다.
자주 묻는 질문(FAQ)
Q1. 건강검진 패키지에 ‘경동맥 초음파’가 있던데 받을까요?
패키지에 포함된 검사는 ‘선별’ 성격이지만, 무증상 일반인에게 경동맥 초음파를 일괄 시행하는 것은 국제 권고에서 이득이 불확실합니다. 개인 위험도·예산·다른 검사의 우선순위를 고려해 의사와 상담 후 선택하세요.
Q2. 한 번 정상이면 다시 안 받아도 되나요?
위험인자가 지속되거나 새로 생기면 간격을 두고 재평가할 수 있습니다. 확진 협착이 있거나 CEA/CAS를 받았다면 정기 추적이 권고됩니다. 일정은 보통 6-12개월 간격을 기본으로 맞춥니다.
Q3. 검사 전 금식이 필요한가요?
경동맥 초음파는 대부분 금식이 필요 없습니다. 다만 카페인·흡연은 일시적 혈관 수축을 유발할 수 있어 검사 직전은 피하는 것이 좋습니다. 병원별 지침을 따르세요.






마무리
경동맥 초음파는 뇌졸중을 일으키는 ‘혈관벽의 변화’를 직접 보여주는 검사입니다. 플라크의 존재와 성상, 협착의 정도, 혈류의 속도를 수치로 기록해 치료 전후의 변화까지 추적합니다. 다만 무증상 인구 전체를 대상으로는 이득이 제한적이므로, 증상·고위험 소견·시술 전후 관리 같은 ‘의학적 적응증’이 분명할 때 가장 가치가 큽니다. 비용은 급여 여부와 기관 종별에 따라 달라지므로, 사전 문의로 본인부담을 예상하고 필요한 경우 급여 인정 범위도 확인해 두면 좋습니다.
'건강정보' 카테고리의 다른 글
| 손가락 끝 통증 원인 (0) | 2025.08.23 |
|---|---|
| 갈비뼈 금이 갔을 때 빨리 낫는 법, 보이는 증상, 골절에 좋은 음식 (0) | 2025.08.09 |
| 사양벌꿀 진짜벌꿀 차이 (0) | 2025.08.01 |
| 무릎 인공관절수술비용 지원 (0) | 2025.06.04 |
| 아카시아꿀 효능 best10 (0) | 2025.05.30 |